09106795931

همراه ما باشید

عصب کشی دندان چیست؟ راهنمای جامع ۱۴۰۴

عصب کشی دندان

چکیده

عصب‌کشی دندان روشی تخصصی برای درمان دندان‌های آسیب‌دیده با پوسیدگی عمیق یا عفونت عصب است که با حذف بافت عفونی و پر کردن کانال ریشه، دندان را حفظ می‌کند. این درمان در سال ۱۴۰۴ با فناوری پیشرفته انجام می‌شود و موفقیت بالای ۹۰٪ دارد. مراقبت‌های پس از عصب‌کشی، شامل مصرف غذاهای نرم، رعایت بهداشت ملایم و اجتناب از فشار بر دندان، برای کاهش درد و تسریع بهبود ضروری است. اشتباهات رایج مانند جویدن با دندان درمان‌شده یا سیگار کشیدن می‌تواند عوارض ایجاد کند. برای اطلاعات بیشتر و انتخاب کلینیک معتبر، به zydent.ir مراجعه فرمایید.

فهرست مطالب

مقدمه: آشنایی با عصب‌ کشی دندان

عصب کشی دندان، که به آن درمان ریشه نیز گفته می‌شود، یکی از روش‌های متداول دندانپزشکی جهت حفظ دندان‌های آسیب‌دیده است. هنگامی که پوسیدگی یا عفونت به عصب دندان نفوذ می‌کند، درد شدیدی ایجاد می‌شود که در صورت عدم درمان، ممکن است به از دست رفتن دندان منجر گردد. عصب‌کشی با حذف بافت عفونی و پر کردن کانال ریشه، درد را تسکین داده و دندان را حفظ می‌نماید. در این مقاله، فرآیند عصب کشی دندان، نکات مراقبتی، رژیم غذایی مناسب، اشتباهات رایج و پاسخ به پرسش‌های متداول به طور کامل بررسی می‌گردد تا با اطمینان این درمان انجام پذیرد.

درمان ریشه دندان

عصب‌کشی دندان

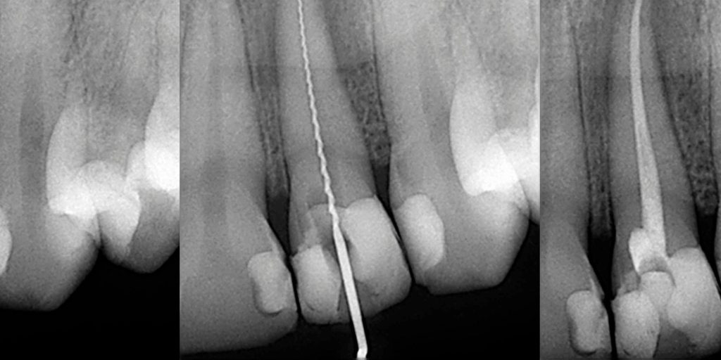
۱. عصب کشی دندان چیست و چگونه انجام می‌شود؟

عصب کشی دندان روشی تخصصی است که برای درمان دندان‌هایی که عصب و بافت داخلی آن‌ها (پالپ) دچار آسیب شده‌اند، به کار گرفته می‌شود. این آسیب معمولاً به دلایل زیر رخ می‌دهد:

  • پوسیدگی عمیق: نفوذ باکتری‌ها به لایه‌های داخلی دندان.
  • ترک یا شکستگی: وارد آمدن ضربه یا فشار شدید به عصب.
  • عفونت مکرر: درمان‌های ناقص پیشین که التهاب ایجاد کرده‌اند.

مراحل عصب کشی دندان

  1. معاینه و تصویربرداری: دندانپزشک با رادیوگرافی (X-ray) میزان آسیب را ارزیابی می‌نماید.
  2. بی‌حسی موضعی: ناحیه اطراف دندان بی‌حس می‌شود تا بیمار دردی احساس نکند.
  3. حذف پالپ آسیب‌دیده: عصب و بافت عفونی با ابزارهای تخصصی از کانال‌های ریشه خارج می‌گردد.
  4. شست‌وشو و ضدعفونی: کانال‌ها با محلول‌های ضدباکتری پاکسازی می‌شوند.
  5. پر کردن کانال: کانال‌ها با مواد زیست‌سازگار (مانند گوتاپرکا) پر می‌گردند.
  6. ترمیم نهایی: دندان با مواد پرکننده یا روکش (برای دندان‌های عقب) بازسازی می‌شود.

این فرآیند معمولاً در ۱ تا ۲ جلسه (هر جلسه ۴۵ تا ۹۰ دقیقه) انجام می‌پذیرد و نرخ موفقیت آن بیش از ۹۰ درصد است.

سؤالات عصب‌کشی دندان

کلمه کلیدی: درمان ریشه دندان

۲. چرا عصب کشی دندان ضروری است؟

عصب کشی دندان نه تنها درد را برطرف می‌سازد، بلکه فواید بلندمدتی برای سلامت دهان به همراه دارد:

  • حفظ دندان طبیعی: دندان اصلی به جای کشیده شدن، حفظ می‌گردد.
  • جلوگیری از گسترش عفونت: عفونت ریشه ممکن است به فک یا سایر دندان‌ها سرایت کند.
  • بهبود عملکرد دهان: جویدن و تکلم بدون اختلال ادامه می‌یابد.
  • زیبایی لبخند: دندان ترمیم‌شده ظاهر طبیعی خود را حفظ می‌نماید.

در صورت عدم انجام عصب کشی دندان، عفونت می‌تواند به آبسه، تحلیل استخوان فک، یا حتی مشکلات سیستمیک (مانند بیماری‌های قلبی) منجر شود.

عصب کشی و درمان ریشه دندان
عصب کشی و درمان ریشه دندان

کلمه کلیدی: مزایای عصب‌کشی دندان

۳. نکات مراقبتی پس از عصب کشی دندان

رعایت مراقبت پس از عصب کشی دندان برای کاهش درد، پیشگیری از عفونت و تسریع بهبود ضروری است. این نکات را رعایت فرمایید:

  • استراحت کافی: تا ۲۴ ساعت از فعالیت‌های سنگین نظیر ورزش شدید یا حمل اجسام سنگین پرهیز شود.
  • استفاده از کمپرس یخ: کمپرس یخ با پوشش پارچه‌ای به مدت ۱۵ دقیقه هر ساعت روی گونه قرار گیرد تا تورم کاهش یابد.
  • مصرف داروهای تجویز شده: مسکن‌ها (مانند ایبوپروفن ۴۰۰ میلی‌گرم) یا آنتی‌بیوتیک‌ها طبق دستور پزشک مصرف شوند.
  • بهداشت دهان ملایم: دندان‌ها با مسواک نرم و به آرامی تمیز شوند. تا ۴۸ ساعت از نخ دندان در ناحیه درمان‌شده استفاده نگردد.
  • محافظت از دندان: تا نصب روکش یا پرکننده دائم، از وارد آمدن فشار بر دندان عصب‌کشی‌شده اجتناب شود.
  • مراجعات منظم: ۱ تا ۲ هفته پس از درمان، جهت معاینه به دندانپزشک مراجعه شود.

کلمه کلیدی: مراقبت پس از عصب کشی دندان

عصب کشی دندان

۴. مواد غذایی مناسب پس از عصب‌کشی

انتخاب رژیم غذایی مناسب پس از عصب‌کشی دندان به کاهش حساسیت و تسریع بهبود کمک می‌نماید. در ۷۲ ساعت نخست:

  • غذاهای نرم و خنک:
    • سوپ ولرم (بدون ادویه تند)
    • پوره سیب‌زمینی یا کدو
    • ماست کم‌چرب
    • اسموتی میوه بدون یخ
  • مایعات مغذی:
    • آب خنک (نه سرد)
    • شیر کم‌چرب
    • آب‌میوه طبیعی بدون شکر
  • مواد پروتئینی سبک:
    • تخم‌مرغ آب‌پز
    • پنیر نرم (مانند پنیر خامه‌ای)
  • غذاهای کم‌چرب: از مصرف غذاهای چرب یا سرخ‌شده که ممکن است ناحیه را تحریک کنند، خودداری شود.

پس از ۳ روز، غذاهای نیمه‌جامد مانند برنج نرم، مرغ پخته یا ماکارونی به رژیم غذایی اضافه گردد. تا یک هفته از غذاهای سفت (مانند آجیل) یا چسبناک (مانند آدامس) پرهیز شود.

کلمه کلیدی: رژیم غذایی پس از عصب‌کشی

۵. اشتباهات رایج پس از عصب‌کشی

برخی عادات می‌توانند روند بهبود را مختل کرده یا عوارض ایجاد کنند:

  • جویدن با دندان درمان‌شده: وارد آمدن فشار بر دندان در هفته اول ممکن است به شکستگی یا درد منجر شود.
  • مصرف غذاهای خیلی داغ یا سرد: دمای شدید حساسیت را افزایش می‌دهد.
  • سیگار یا الکل: این مواد روند بهبود را کند کرده و خطر عفونت را افزایش می‌دهند.
  • عدم پیگیری درمان: عدم نصب روکش یا پرکننده دائم، دندان را ضعیف نگه می‌دارد.
  • نادیده گرفتن علائم: درد شدید، تورم یا تب پس از ۳ روز نشانه عفونت است و نیازمند مراجعه فوری می‌باشد.

کلمه کلیدی: عوارض عصب‌کشی دندان

۶. جدول نکات کلیدی عصب‌کشی دندان

نکتهتوضیحزمان‌بندی
کمپرس یخکاهش تورم و درد۲۴-۴۸ ساعت نخست
مصرف دارومسکن یا آنتی‌بیوتیک طبق تجویز۱-۵ روز
غذاهای نرمسوپ، ماست، پوره برای کاهش فشار۷۲ ساعت نخست
بهداشت ملایممسواک نرم، بدون نخ دندان در ناحیه۴۸ ساعت نخست
مراجعه در صورت درد شدیدنشانه عفونت یا مشکل در درمانپس از ۳ روز

کلمه کلیدی: نکات عصب‌کشی دندان

۷. پرسش‌های متداول درباره عصب کشی دندان

  • عصب‌کشی چه مدت زمان می‌برد؟ معمولاً ۱ تا ۲ جلسه (۴۵ تا ۹۰ دقیقه هر جلسه) بسته به تعداد کانال‌ها.
  • آیا عصب‌کشی دردناک است؟ خیر، با بی‌حسی موضعی دردی احساس نمی‌شود، هرچند حساسیت موقت پس از درمان ممکن است رخ دهد.
  • دندان عصب‌کشی‌شده چه مدت دوام می‌آورد؟ با روکش و مراقبت مناسب، تا ۱۵-۲۰ سال.
  • چرا پس از عصب‌کشی روکش لازم است؟ دندان ضعیف‌تر شده و روکش از شکستگی جلوگیری می‌نماید.
  • هزینه عصب‌کشی در سال ۱۴۰۴ چقدر است؟ از ۱.۵ تا ۸ میلیون تومان، بسته به نوع دندان و تخصص پزشک.
  • آیا ورزش پس از عصب‌کشی مجاز است؟ پس از ۴۸ ساعت، با تأیید پزشک.

کلمه کلیدی: سؤالات عصب‌کشی دندان

۸. عوارض احتمالی و راه‌های پیشگیری

هرچند عصب‌کشی عموماً ایمن است، عوارض نادری ممکن است رخ دهند:

  • درد یا حساسیت طولانی‌مدت: ناشی از التهاب موقت یا عفونت باقی‌مانده.
  • شکستگی دندان: در صورت عدم نصب روکش، دندان شکننده می‌گردد.
  • عفونت ثانویه: به دلیل عدم رعایت بهداشت یا نقص در پر کردن.

راه‌های پیشگیری:

  • رعایت دقیق نکات مراقبتی (بخش ۳).
  • انتخاب کلینیک معتبر با متخصص مجرب.
  • نصب روکش برای دندان‌های آسیاب.

کلمه کلیدی: عوارض درمان ریشه

۹. انتخاب کلینیک مناسب برای عصب کشی

انتخاب کلینیک مناسب بر موفقیت عصب کشی دندان تأثیر بسزایی دارد:

  • مجوز و اعتبار: کلینیک باید دارای مجوز وزارت بهداشت باشد.
  • تخصص دندانپزشک: متخصص اندودنتیست با حداقل ۵ سال تجربه.
  • تجهیزات مدرن: استفاده از دستگاه‌های دیجیتال و میکروسکوپ برای دقت بیشتر.
  • نظرات بیماران: بررسی نظرات در گوگل یا شبکه‌های اجتماعی.
  • مشاوره اولیه: کلینیک‌های معتبر مشاوره رایگان ارائه می‌دهند.

کلمه کلیدی: بهترین کلینیک عصب کشی تهران

نتیجه‌گیری: عصب‌کشی، گامی برای لبخند سالم

صب‌کشی دندان روشی ایمن و مؤثر برای حفظ دندان‌های آسیب‌دیده و تسکین درد است. با آگاهی از فرآیند درمان، رعایت نکات مراقبتی و انتخاب رژیم غذایی مناسب، بهبود سریع‌تر و بدون عارضه‌ای حاصل می‌گردد. از اشتباهات رایج پرهیز شود و در صورت بروز علائم غیرعادی، فوراً با دندانپزشک مشورت گردد. zydent.ir همراه شماست تا با اطلاعات دقیق، بهترین تصمیم برای سلامت دهان اتخاذ شود. برای یافتن کلینیک‌های معتبر و نکات بیشتر، به وب‌سایت ما مراجعه فرمایید.

بازگشت به صفحه اصلی سایت

کلمات کلیدی: عصب‌کشی دندان، درمان ریشه دندان

کامپوزیت دندان

کامپوزیت دندان چیست؟ مزایا، معایب، هزینه‌ها و مقایسه با روش‌های مشابه

مقایسه روکش، لمینت و کامپوزیت دندان؛ کدام روش در چه موقعیتی بهتر است؟

روکش دندان چیست؟

روکش دندان چیست؟ همه چیز درباره روکش دندان

روکش دندان پوسته‌ای محافظ است که برای بازسازی دندان‌های آسیب‌دیده یا ضعیف استفاده می‌شود. انواع
تعرفه عصب کشی دندان

هزینه‌ عصب کشی دندان در سال ۱۴۰۴: راهنمای جامع قیمت‌ها

هزینه عصب کشی دندان در سال ۱۴۰۴ به نوع دندان، تعداد کانال‌ها، و تخصص دندانپزشک
مراحل کاشت ایمپلنت

ایمپلنت دندان چیست؟ راهنمای جامع درباره جایگزین دائمی دندان

ایمپلنت دندان یک روش پیشرفته و دائمی برای جایگزینی دندان‌های ازدست‌رفته است که با کاشت